Human Male Reproductive System
The human male reproductive organ is a system of sub-organs which play specific but significant roles like coitus, ejaculation, inhibition or stimulation through hormones. Let's dig a little deeper...
Rectum
It begins at the large intestine and ends at the anus. It follows the shape of the sacrum (lowest bone of the vertebra) and ends in an expanded section called an ampulla where feces are stored before their release via the anal canal. It lies behind the bladder in males. It has the highest concentration of goblet cells that secrete mucus.
Bulbourethral Gland
Also called Cowper's glands, these pea-shaped exocrine glands lubricate semen by mucus secretion containing glycoproteins, a pre-ejaculate fluid (Cowper's fluid) before ejaculation. This lubricates urethra and penis tip; expels urine, dead cells and residues through meatus ; and neutralizes acidity. It is one of the three male accessory glands (MAG). It is made up of columnar epithelial cells lining multi-lobed acini.

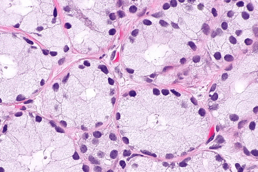
Prostate Gland
It is a walnut-sized gland located between the bladder and penis. It nourishes and protects sperms by reconstituting semen with proteolytic enzymes, prostatic acid, phosphatase, fibrinolysin, zinc and prostate-specific antigen (PSA). It makes the semen alkaline that protects sperms from the acidity of vaginal fluid. It is one of the three male accessory glands (MAG). Major prostate conditions include inflammation, enlargement and cancer. Below is the cell composition of the inner wall of prostate gland.

Ejaculatory Duct
Duct of seminal vesicle unites with vas deferens to form the ejaculatory duct. It passes through the prostate gland and opens into the urethra at the seminal colliculus.
​
CONCEPT CHECK
Ejaculation (animation)
It is a two-staged process - emission and expulsion.
Emission involves contraction of the prostate gland, seminal vesicle, bulbourethral glands and vas deferens that pushes the fluid into prostatic urethra.
Expulsion involves contraction of muscles at the base of penis that propels and expels the fluid through urinary orifice.
Epididymis
It is a long coiled tube that stores sperms and transports it from testes.
It has three parts - head, body and tail. Sperms travel first through the thicker head, passage through the intermediate body and exit into the vas deferens through the thinner tail.
Scrotum
It is an extension of the abdomen in males that covers the testes. It acts as a thermostat for sperms by keeping temperature of testes at 35°C to preserve spermatogenesis (2°C lower than body temperature). It does this by pushing testes inwards via cremastar muscle in abdomen and dartos fascia, a muscle immediately below the scrotal skin.
Urinary Bladder
It stores urine from kidneys before urination. It is distensible and sits on the pelvic floor. It is made up of transitional epithelia like ureter. It has stretch receptors (M3 and M2) that activate after 300-400 mL of urine collects to trigger urination.
Pubic Bone (Pubis)
A pair of pubis is a part of the pelvis. One pubis supports the body while sitting by curving medially to join the other pubis and help in balancing the pelvic girdle.
Ureter
Smooth muscle tubes that propel urine from kidney to urinary bladder. They are made up of transitional epithelium that can contract and expand to adapt to the degree of distension. Cells are usually rounded.
​
CONCEPT CHECK
Types of epithelia
Firstly, let's discuss how these are categorized based on cell stacking. If it is a single layer of cells, it is termed simple. If there are multiple layers, it is called stratified.
Sometimes, a single layer appears to be stacked. It is called pseudo-stratified.
Secondly, they are categorized based on the shape of cells in tissues; if cells are flat and shaped like fish scales, they are squamous; if they are cube-shaped, cuboidal; and if they are tall and form columns, they are columnar.

Seminal Vesicle
They are a pair of two coiled tubular glands that lie behind the urinary bladder of male mammals. They have multiple openings that join together with vas deferens to form the ejaculatory duct that enters the prostate gland. It secretes a fluid mixture of fructose, citric acid, prostaglandins and fibrinogens that constitutes 70-85% of semen. This supports sperm until fertilization. Cancer called prostate occurs at the junction of seminal vesicle and prostate gland. It is one of the three male accessory glands (MAG).

Testis
It is the male reproductive gland or gonad in mammals. It produces sperms and androgens like testosterone. Testosterone function is controlled by anterior pituitary leutenizing hormone. In turn, testosterone and anterior pituitary follicle-stimulating hormone controls sperm production. An average adult testicle measures 5 cm × 2 cm × 3 cm. One testis (left) is lower than the other (right) to (1) prevent compression during impact (2) control temperature in scrotum.
CONCEPT CHECK
How and from where do sperms travel ?
Sperms are produced by testes and stored in very fine coiled tubes called seminiferous tubules. Till puberty, these are called germ cells which are the primitive forms of sperm. After puberty, these develop into spermatozoa or male gametes. They travel to rete testis, then through the efferent duct to epididymis, where they mature via spermatogenesis (see this). They then travel through vas deferens to enter the urethra and expel out during ejaculation.

Urinary Duct (Urethra)
It connects the bladder (internal orifice) to the urinary meatus (external orifice) through penis to remove urine and ejaculate. It is 18-22 cm long on average.
In non-erect state, it divides into pre-prostatic, prostatic, membranous and spongy urethra.
(1) Pre-prostatic: group of transitional epithelia embedded in white bladder walls. 0.5-1.5 cm long.
(2) Prostatic: group of transitional epithelia surrounded by glandular and stromatal tissue of prostate gland. 3-4 cm long.
(3) Membranous: group of pseudostratified columnar epithelium surrounded by muscle cells near bulbourethral gland. 1-1.5 cm long.
(4) Spongy: entire length of penis composed of pseudostratified columnar epithelium and tip composed of stratified squamous epithelium; surrounded by corpus spongiosum.
​
​
​

Vas Deferens
A pair of tiny tubes carrying sperms from epididymis to the ejaculatory duct. It is around 30 cm in diameter and consists of pseudostratified columnar epithelium. Vasectomy is the procedure that permanently cuts the vas deferens or dams using an intra vas device to prevent conception.
Vas deferens loop around the ureter in placental mammals and not in marsupials. Why? Because fetus descends into the uterus at a later stage of development in placental mammals. In placental ancestors, the testes used to lie within the abdomen. They eventually descended to accommodate the differences in temperatures that could affect spermatogenesis. This lengthened the vas deferens to add an accidental hook over the ureter.

Seminiferous Tubules
It is the specific location of meiosis within the testis. It is lined by tall, columnar Sertoli cells that act as containers for spermatogenesis. These also contain anti-Mullerian hormone (AMH), that prevents formation of female follicles during embryogenesis. Sertoli cells protect and repair damage to DNA in sperm cells due to reactive oxygen species (peroxides, superoxide, hydroxyl radical, singlet oxygen, and alpha-oxygen). They lie adjacent to Leydig cells that produce testosterone upon trigger from leutenizing hormone (LH).
Erectile Tissue
Penis has three erectile tissues wrapped with connective tissues and covered with skin - two of them are superior to urethra and called corpus spongiosum. One is inferior to the urethra that imbibes blood during erection, called corpus cavernosum.
How does erection occur?
On sexual stimulation, a few sympathetic neurons near the kidneys release dopamine into non-adrenergic non-cholinergic (NANC) neurotransmission pathways that induces vasodilation and triggers endocrine cells to release nitric oxide (NO). NO activates guanylate cyclase enzyme that converts GTP in cells into cyclic guanosine monophosphate (cGMP). cGMP relaxes the erectile tissues in penis. The vasodilation of nearby arteries pumps in more blood into corpus cavernosa which is more than the blood that pumps out. This increased blood volume causes erection. Erectile penis turns flaccid upon the inhibitory action of phosphodiesterase type 5 (PDE 5) that converts cGMP to GMP and normalizes the blood flow in the tissues. Viagra or sildenafil is a PDE 5 inhibitor that prolongs erection.
​

Penis
Penis is the external male organ that serves as reproductive and urinal duct. It consists of the pink cap called glans, and double-layered smooth muscle tissue called foreskin or prepuce, that is mobile, stretchable and acts as a protective skin that lubricates glans. Glans is an extension to the corpus spongiosum, and is a sensitive male organ due to extensive free nerve endings, genital end bulbs, Pacinian corpuscles (mechanoreceptor for pressure and vibration) and Ruffinian corpuscles (mechanoreceptor for stretch response).
How and why are some male babies circumcized ?
Circumcision is the surgical removal of the foreskin to expose glans. In some families (Jews, Islam, African and Australian aborigins), it is a religious ritual.
​
A circumferential incision is made below the glans on the foreskin. It is then retracted and assessed. After matching the appropriate areas the foreskin is removed, any bleeding is stopped and the skin edges are closed with dissolving stitches.
​
Benefits of circumcision include better hygiene, decreased risk of urinary tract infections and sexually transmitted diseases, prevention of phimosis or the stiffening of foreskin and penile cancer (also reduced cervical cancer in sexual partners of circumcized men).

